Galerie

Hinweis: Klicken Sie auf die Bilder, um die "Nachher"-Ansicht anzusehen.

 

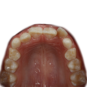
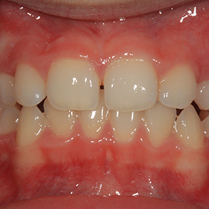
Zungenoffener Biss, Kind
Abnehmbare Spange
Zungenoffener Biss, Kind
Abnehmbare Spange
Umgekehrter Überbiss, Kind
Abnehmbare Spange
Umgekehrter Überbiss, Kind
Abnehmbare Spange
Tiefbiss, Jugendlicher
Abnehmbare Spange
Tiefbiss, Jugendlicher
Abnehmbare Spange
Platzmangel, Kind
Gesichtsbogen
Platzmangel, Kind
Gesichtsbogen
Engstand, Jugendlicher
Brackets
Engstand, Jugendlicher
Brackets
Vorstehende Frontzähne, Erwachsener
Aligner
Vorstehende Frontzähne, Erwachsener
Aligner
Engstand, Jugendlicher
Aligner
Engstand, Jugendlicher
Aligner
Zahnwanderung, Erwachener
Brackets
Zahnwanderung, Erwachener
Brackets
Zungenfehlfunktion, Jugendlicher
Abnehmbare Spange
Zungenfehlfunktion, Jugendlicher
Abnehmbare Spange
Zahnfleischrückgang, Erwachsener
Festsitzende Spange, Zahnerhalt
Zahnfleischrückgang, Erwachsener
Festsitzende Spange, Zahnerhalt
Progene Zahnfehlstellung, Erwachsener
Festsitzende Spange, Zahnerhalt
Progene Zahnfehlstellung, Erwachsener
Festsitzende Spange, Zahnerhalt
Kieferfehllage, Erwachsener
Kombination Kieferchirurgie
Kieferfehllage, Erwachsener
Kombination Kieferchirurgie
Vorstand eines Vorderzahns, Kind
Abnehmbare Spange
orstand eines Vorderzahns, Kind
Abnehmbare Spange
seitlicher Kreuzbiss, Kind
Festsitzende Spange
seitlicher Kreuzbiss, Kind
Festsitzende Spange
Drehstände, Jugendlicher
Brackets
Drehstände, Jugendlicher
Brackets
Skelettal offener Biss, Erwachsener
Kombination Kieferchirurgie
Skelettal offener Biss, Erwachsener
Kombination Kieferchirurgie
Zungenoffener Biss, Kind
Mundvorhofplatte
Zungenoffener Biss, Kind
Mundvorhofplatte
Drehstände, Jugendlicher
Brackets
Drehstände, Jugendlicher
Brackets
Engstand, Jugendlicher
Aligner
Engstand, Jugendlicher
Aligner
Engstand, Kind
Abnehmbare Spange
Engstand, Kind
Abnehmbare Spange
Lücken, Jugendlicher
Aligner
Lücken, Jugendlicher
Aligner
Kreuzbiss, Kind
Frühbehandlung
Kreuzbiss, Kind
Frühbehandlung
Kieferfehlage, Erwachsener
Kombination Kieferchirurgie
Kieferfehlage, Erwachsener
Kombination Kieferchirurgie
Platzmangel, Kind
Abnehmbare Spange
Platzmangel, Kind
Abnehmbare Spange
Zahn-Nichtanlage, Jugendlicher
Aligner
Zahn-Nichtanlage, Jugendlicher
Aligner
Offener Biss, Erwachsener
Aligner, ohne Kieferchirurgie
Offener Biss, Erwachsener
Aligner, ohne Kieferchirurgie
Zahn-Nichtanlage, Jugendlicher
Brackets
Zahn-Nichtanlage, Jugendlicher
Brackets
Tiefbiss, Jugendlicher
Brackets
Tiefbiss, Jugendlicher
Brackets
vorher
nachher
vorher
nachher